Prophylaxe und Zahnreinigung
Die professionelle Zahnreinigung - made by koschdon & zähne

Sehr stolz sind wir auf unser Prophylaxekonzept, das wir jahrelang entwickelt, geprüft und verbessert haben. Mit dem Anspruch, Ihnen die beste Zahnreinigung anzubieten, die wir uns vorstellen können, arbeiten wir Tag für Tag für Sie und Ihre Zahngesundheit. Erfahren Sie gerne den Unterschied.
Ihr(e) Sylwia Spangehl
Leitung der Prophylaxe und Dentalhygiene
ZAHNMEDIZINISCHE LEISTUNGEN

Saubere Zähne...
...kennen keinen Karies oder Parodontose
Mundgeruch adé
Saubere Zähne bedeuten frischen Atem
Sanfte Behandlung
Auch für empfindliche Zähne
Vereinbaren Sie jetzt Ihren Termin online!
Sie können ab sofort ganz bequem online einen Termin bei uns buchen. Nutzen Sie unser einfaches Buchungssystem, um schnell und flexibel den passenden Termin zu finden!

- Sichtbarmachung des bakteriellen Biofilms durch Anfärben
- Entfernung harter Beläge wie Zahnstein mittels Piezospitze mit No-Pain Technologie
- Entfernung weicher, bakterieller Beläge sowie Verfärbungen durch Original Airflow-Technologie
- Erwärmtes Wasser sowie feinste Reinigungspulver reinigen besonders sanft und schonend
- Politur mittels schonender Polierpasten
- Intensive Remineralisation, mit oder ohne Fluorid
- zum Schutz vor Karies bei bleibenden Zähnen und Milchzähnen
- zum Schutz vor Entkalkungen, beispielsweise durch Genuss säurehaltiger Speisen und Getränke
- zum Schutz während der kieferorthopädischen Behandlung
- zum Schutz vor Verfärbungen nach einem Bleaching
- Zur Versiegelung von Fissuren, Grübchen und Foramina Caeca
- Schmerzfreie Behandlung
- Langfristiger Kariesschutz in den Fissuren
- Einfach individuell herzustellen
- Sehr wirksam bei richtiger Anwendung
- Ideal bei Patienten mit hoher Bakterienaktivität
- Applikation erfolgt direkt nach der Zahnreinigung oder zur Vorverhandlung bei Parodontitis
- Hohe Wirksamkeit und antientzündliche Wirkung
- Bei Gingivitis, Parodontitis und zur Vorbeugung von Periimplantitis
Professionelle Zahnreinigung by koschdon & zähne
Mit viel Engagement und dem Feedback zahlreicher Patienten haben wir jahrelang unsere Professionelle Zahnreinigung weiterentwickelt. Der Fokus lag auf einer präzisen Reinigungsleistung bei gleichzeitig sehr hohem Patientenkomfort. Die Zahnreinigung soll bei uns effizient und so sanft wie möglich ablaufen. Dafür bedienen wir uns (je nach Bedarf und Situation) an folgenden Elementen:
Diese Elemente bilden das Grundgerüst Ihrer Prophylaxesitzung. Je nach Bedarf können weitere Maßnahmen, die speziell für Ihre Mundgesundheit wichtig sein können, angeschlossen werden. Beispielsweise können Zähne versiegelt oder entzündetes Zahnfleisch durch die Applikation antibakterieller Medikamente behandelt werden.
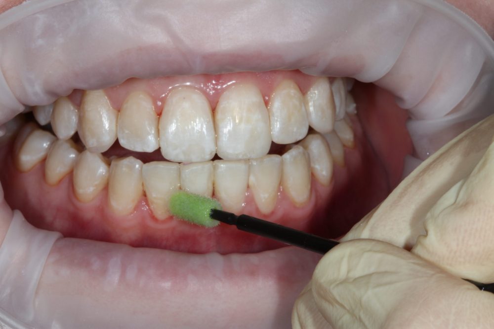
Visualisierung von Biofilm
Bakterieller Biofilm ist durchsichtig, sehr klebrig und für den Patienten ohne weiteres nicht erkennbar oder entfernbar. Biofilm fördert nicht nur die Entwicklung von Karies, sondern auch von parodontalen und periimplantären Erkrankungen. Auch gründliche häusliche Zahnpflege schafft es in der Regel nicht, festsitzenden bakteriellen Biofilm zu entfernen.
Mittels einer speziellen Flüssigkeit wird schädlicher bakterieller Biofilm sichtbar gemacht. Bei der Zahnreinigung verwenden wir eine Indikatorflüssigkeit zum Entdecken von verstecktem bakteriellem Biofilm als einen der ersten Schritte. So sehen wir gemeinsam mit Ihnen, welche Bereiche besondere Aufmerksamkeit benötigen.
Die Vorteile:
• Visualisieren vorhandener bakterieller Besiedelung
• Färbt nur den Biofilm
• Versteckte, unsichtbare Besiedlungen werden aufgezeigt und können gründlich gereinigt werden
Glattflächenversiegelung
Eine Glattflächenversiegelung bietet Patienten umfassende und langfristige Verbesserung des Schutzes vor Karies und Demineralisierungen sowie Verfärbungen. Ein spezieller, sehr wirksamer Schutzlack mit Kalziumfluorid und Hydroxylappatit wird nach der Professionellen Zahnreinigung als Glattflächenversiegelung auf die Zahnhartsubstanz aufgetragen. Die Aushärtung erfolgt ohne die Notwendigkeit einer Lichtaktivierung, bietet einen langfristigen Schutz und kann regelmäßig wiederholt werden. Der Schutz von Zähnen, vorhandenen Füllungen und vollkeramischen Restaurationen wie Inlays und Teilkronen lässt sich langfristig erhöhen.
Eine Glattflächenversiegelung ist angezeigt:
Fissurenversiegelung
Fissuren und Grübchen unterliegen einem hohen Kariesrisiko, da noch so gute Mundhygiene hier häufig nicht ausreichend zum Zuge kommt. Die jahrzehntelangen Erfahrungen mit der Fissurenversiegelung zur Prävention von Karies bei Kindern und Erwachsenen belegen die Wirksamkeit dieser Maßnahme.
Eine Fissurenversiegelung verschließt die Fissuren mit einer undurchlässigen Schicht und schützt diese gefährdeten Stellen.
Das von uns verwendete Material ist ein lichthärtender, weiß pigmentierter Fissurenversiegler mit Fluoridfreisetzung. Wir erreichen somit eine Erhöhung der Schmelzresistenz durch Förderung der Remineralisation und Hemmung der Demineralisation.
Medikamententrägerschienen
Die Behandlung mit Medikamententrägerschienen ist einfach, unkompliziert und wirksam. Die Zähne können bei hoher Bakterienaktivität regelmäßig und bequem zuhause behandelt werden, um langfristige Therapieerfolge zu sichern.
Die Anwendung des Verfahrens hat sich in unserer Praxis als effektiv und wirksam erwiesen, weil die Wirkzeit des Medikaments verlängert wird und der Patient zuhause und auf Reisen eine wirksame Maßnahme an der Hand hat. Des Weiteren lässt sich die Schiene zur Behandlung überempfindlicher freiliegender Zahnhälse nutzen, die häufig als Nebenwirkung bei der Parodontitistherapie auftreten. In diesem Fall kann die Schiene bei Bedarf mit fluoridhaltigen Gels gefüllt und eingesetzt werden.
Antibaktierielle Medimente bei Zahnfleischerkrankungen
Bei entzündetem oder gereiztem Zahnfleisch wird ein antibakterielles Medikament in die Zahnfleischtasche appliziert, um die Bakterienbesiedlung zu reduzieren. Die Regeneration des Zahnfleisches wird intensiv unterstützt, die Wirkung kann Parodontitis vorbeugen und Zahnfleischbluten verringern. Die Applikation erfolgt vollkommen schmerzfrei nach der Zahnreinigung.










