Kinderzahnmedizin
Sie suchen einen Kinderzahnarzt in Neu-Isenburg? Wir kümmern uns besonders gerne um Ihre Kleinen.

Bei koschdon & zähne ist unser wichtigstes Ziel der glückliche Patient. Ob Erwachsene, Jugendliche oder Kinder – mein Team und ich geben täglich unser Bestes, um Diagnostik und Therapie für unsere Patienten auf konstant hohem Niveau zu halten. Wir wollen immer sanft, umfassend und perfekt arbeiten, damit Sie mit einem guten Gefühl in die Praxis kommen. Ein wichtiger Pfeiler ist hierbei die Prävention, bei der wir unsere Patienten auch über die klassische Zahnreinigung hinaus unterstützen.
Ihr(e) Dr. Jakob Koschdon, M. Sc.
Zahnarzt und Master of Science für Kieferorthopädie
Kinderzahnmedizin

Kinderfreundliches Ambiente
Spielsachen für Ihre Kleinen
Kinder & Jugendliche
Professionelle Behandlung
Kurzweilige Wartezeit
Playstation vorhanden
Vereinbaren Sie jetzt Ihren Termin online!
Sie können ab sofort ganz bequem online einen Termin bei uns buchen. Nutzen Sie unser einfaches Buchungssystem, um schnell und flexibel den passenden Termin zu finden!

- Fissurenversiegelung
- Strahlenreduziertes Röntgen neuester Generation
- Kariesbehandlung mit hochwertigen Füllungen bei Kindern und Jugendlichen
- Kieferorthopädie ab dem 4. bis zum 18. Lebensjahr und darüber hinaus
- Kinderprophylaxe, bei Milchzähnen und bleibendem Gebiss
- Oralchirurgie bei Kindern und Jugendlichen
- Unfallmanagement wie abgebrochene Frontzähne
- Zahn- und Kieferfehlstellungen (offener Biss, vergrößerte Stufe, Schmalkiefer, Kreuzbiss)
- Mundatmung statt Nasenatmung
- beeinträchtigte Sprachentwicklung
- Sprachstörungen (Lispeln)
- Klare Worte. Je nachdem, wie alt Ihr Kind ist, können Sie mit einfachen Worten erklären, welche Nachteile der Schnuller für Ihr Kind hat. Dabei sollten Sie allerdings vermeiden, Ihrem Kind Angst zu machen. Möglicherweise werden Sie Überrascht sein, wie verständnisvoll es darauf reagiert.
- Trösten. Eine Veränderung ist immer etwas unbequem. Weint Ihr Kind oder ist es unglücklich, trösten Sie es und lenken es ab, beispielsweise mit einem Spielzeug, Kuscheltier oder einer Schmusedecke.
- Nachts ohne Schnuller. Sollte Ihr Kind doch einmal mit dem Schnuller einschlummern, achten Sie darauf, ihn aus dem Mund zu nehmen, sobald das Kind schläft.
- Kurzes Schnullern als Übergangslösung. Sollte Ihr Kind tagsüber ein starkes Verlangen nach dem Schnuller verspüren, kannst du ihm diesen für eine begrenzte Zeit (wenige Minuten) überlassen. Dein Kind kann sich danach ganz bewusst wieder von dem Schnuller verabschieden.
Warum Kinderzahnmedizin?
Speziell in unserer Praxis haben Sie einen großen Vorteil, den viele Familien schätzen: Kinder und Jugendliche können sowohl zahnmedizinisch und kieferorthopädisch untersucht und bei Bedarf versorgt werden. Hierzu gehören die halbjährlichen Kontrollen, die Prophylaxe genauso wie die Beobachtung, ob und wann kieferorthopädische Behandlungen notwendig sein können.
Eltern und Kinder müssen nicht zwischen mehreren Praxen wechseln, Kinder fassen Vertrauen und kennen „ihre Praxis“.
Ihr Besuch bei uns
Der erste Besuch bei koschdon & zähne
Der erste Besuch bei uns findet idealerweise mit dem Durchbruch des ersten Zahns statt. Milchzähne und bleibende jugendliche Zähne benötigen eine besonders sensible Behandlung. Wir behandeln Kleinkinder, Kinder, Jugendliche und werdende Mütter. Kinder werden mit einer gesunden Mundhöhle geboren und diese möchten wir gemeinsam mit den Eltern erhalten.
Wie gehen unsere Kinderzahnärzte vor?
Unser Kinderzahnärzte-Team berät Sie nicht nur aus zahnärztlicher Sicht – unsere Kinderpatienten erleben uns auch als engagierte und umsorgende Vertrauenspersonen. Nach der Erstberatung in unserer Praxis, die u.a. dem gegenseitigen Kennenlernen dient, und einer gründlichen Untersuchung wird ein individueller Behandlungs- und Prophylaxeplan erstellt. Dabei haben unsere Zahnärzte bei der Untersuchung von Zahnsubstanz, Zahnstellung, Zahnfleisch, Mundschleimhaut und Gebissentwicklung stets im Blick, dass dieser Mund einer jungen Persönlichkeit gehört. Selbstverständlich erläutern die Zahnärzte ihr Vorgehen in jedem Stadium der Behandlung ausführlich und beantworten jederzeit gerne Ihre Fragen.
Unser Behandlungsspektrum umfasst:
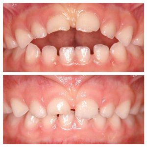
Kieferorthopädische Frühbehandlung
Verschiedene Symptome können darauf hinweisen, dass eine kieferorthopädische Frühbehandlung notwendig ist. Dazu gehören am häufigsten der Kreuzbiss und eine Zungenfehlfunktion, die Spuren in der Kieferanatomie hinterlassen hat.
Das Ziel von Frühbehandlungen ist es, schwere Zahn- oder Kieferfehlstellung frühzeitig zu korrigieren oder aber zumindest in ihrem Ausmaß so weit zu reduzieren, dass eine normale kieferorthopädische Behandlung zu einem späteren Zeitpunkt Aussicht auf Erfolg hat. Bleiben schweren Fehlstellungen unbehandelt, können sich die Kiefer nicht normal entwickeln und die Kieferfehlstellung verstärkt sich immer weiter.
In der Regel verwenden wir auch hier herausnehmbare und festsitzende Zahnspangen, Kiefer und Zähne reagieren in diesem Alter meist sehr gut auf die Therapie. Der Kiefer kann sich wieder normal entwickeln und in fast allen Fällen kommen die kleinen Patienten super mit Ihrer Therapie klar.
Kinderbehandlung ohne Narkose
Bei koschdon & zähne ist unser Ziel eine kindgerechte und vertrauensvolle Behandlung ohne Narkose. Wir haben sehr gute Erfahrungen mit Kindern gemacht, die sich anfänglich oder in anderen Praxen nicht behandeln lassen wollten. Dabei greifen wir auf fundierte Fortbildungen bei renommierten Professoren zurück und finden auf entspannte Art meist eine Lösung für ein Angstproblem.
Falls Kinder es nicht schaffen, sich auf gängigem Wege behandeln zu lassen, kennen wir mehrere erfahrene Praxen in der Umgebung, die regelmäßig Narkosebehandlungen durchführen und an die sich Familien wenden können.
Für die Vorsorgetermine kommen die Kinder dann wieder zu uns und entwickeln somit dauerhaft ein normales Verhältnis zum Zahnarzt.
Milchzahnkaries richtig behandeln
Die Ursache der Milchzahnkaries ist meist ernährungsbedingt. Auch bei guter Mundhygiene lässt sich Milchzahnkaries bei zuckerreicher Ernährung kaum verhindern. Ein zusätzlicher Faktor ist auch die Zusammensetzung der bakteriellen Flora im Mund und die Antwort des Immunsystems. Dadurch sind oft bei Geschwister-Kindern trotz gleicher Ernährung und Pflege deutliche Abweichungen im Kariesbefall festzustellen.
Die Behandlung der Milchzahnkaries ist anspruchsvoll. Kinder sind von Natur aus unruhig und es bleiben dem Kinderzahnarzt nur kurze, konzentrierte Behandlungszeiträume für die effektive Therapie.
Ein Milchzahn ist wesentlich anders gebaut als ein bleibender Zahn. Er zeichnet sich durch eine verhältnismäßig dünne Hartsubstanz und eine große Pulpa (“Nerv”) aus. Dadurch ist fast jede Milchzahnkaries nervnah und gefährdet das Überleben des Nerven.
Wegen der dünnen Wandstärke der Milchzähne kann eine Füllung oft nicht mechanisch verankert werden. Außerdem können die dünnen Zahnwände, die die Füllung halten, beim Kauen abbrechen und dann einen Füllungsverlust auslösen. In vielen Fällen ist auch bei Kindern jedoch die mechanisch verankerte Zementfüllung die Kassenleistung.
Wir empfehlen die Behandlung von Milchzahnkaries mit Komposit, einer Keramik-Kunststoff-Mischung. Kompositfüllungen sind feiner zu verarbeiten, es muss weniger Zahnhartsubstanz geopfert werden und sie werden eingeklebt. Diese Klebung ist zwar schwächer als bei bleibenden Zähnen, hat jedoch nachweislich eine deutlich bessere Haltbarkeit als Zementfüllungen und ist zudem glatter und damit hygienischer. Falls bei gesetzlich versicherten Kindern ein Eigenanteil bleiben sollte, klären wir Sie darüber vor der Behandlung auf.
Therapie von frühkindlichem Knirschen und Schnarchen
Schnarchen und Zähneknirschen kommen nicht nur bei Erwachsenen vor. Auch Kinder können schon mit den Zähnen knirschen oder schnarchen, mit Folgen für den erholsamen Schlaf sowie die Allgemeingesundheit. Zudem konnten Forscher sowohl bei Erwachsenen als auch bei Kindern klare Zusammenhänge zwischen beidem ausmachen.
Zusammenhang zwischen falscher Zungenlage, Knirschen und Atemproblemen
Medizinische Studien fanden heraus, das Probleme beim Atmen, wie Mundatmung und Schnarchen, in der Regel zu einer ungenügenden Sauerstoffzufuhr in den Lungen und damit im Gehirn führen. Eine Mundatmung hängt in der Regel mit einer unausgewogen entwickelten Muskulatur des Mundraumes zusammen. So kann das Schnarchen Folgen wie eine eingeschränkte Entwicklung des Gesichts und des Kiefers, Probleme bei der schulischen Entwicklung und in Sauerstoffmangel begründete verminderte Gehirnentwicklung haben.
Auch das Knirschen mit den Zähnen bei Kindern und Jugendlichen zeigt Zusammenhänge mit einem Ungleichgewicht der Muskulatur und seiner Beanspruchung. Es geht häufig, aber nicht immer, mit dem Schnarchen einher und kann negative Folgen bei der Kiefer- und Gesichtsentwicklung haben. Neben der Entwicklung von Kieferfehlstellungen werden die Zähne überbeansprucht und geschädigt.
Probleme durch Schnarchen oder Zähneknirschen bei Kindern erkennen
Um herauszufinden, ob ein Kind betroffen ist, sollte es beobachtet werden, mit Hauptaugenmerk auf Schlaf- und Atemprobleme sowie Anzeichen für Zähneknirschen (externer Link). Eltern sind hierfür die wichtigsten Partner in der Kommunikation mit dem Zahnarzt und Kieferorthopäden.
Sollte Ihr Kind Anzeichen für Schnarchen, Schlafprobleme, erhöhte Müdigkeit, Konzentrationsschwäche, Zähneknirschen oder -mahlen, häufige Albträume und/oder erneutes Bettnässen aufweisen, können wir bei einem Termin gemeinsam die Therapie mit speziellen Zahnschienen besprechen. Wir können Ihnen in diesem Zusammenhang mögliche Ursachen aufzeigen und gemeinsam eine Therapie erwägen.
Ziel der Behandlung ist es die Entwicklung der Atemwege, des Kiefers sowie der Zähne so zu beeinflussen, dass sowohl das Schnarchen als auch das Zähneknirschen beseitigt werden und der Körper in der Nacht wieder eine ausreichende Menge an Sauerstoff erhält. Sodass die reguläre kindliche Entwicklung und ein optimaler Stoffwechsel wieder möglich sind.
Bitte beachten Sie, dass die Therapiekosten für eine Schienentherapie bei Kindern nicht mit der gesetzlichen Krankenkasse abzurechnen sind. Sie belaufen sich auf ca. 600 bis 1200€ für eine halbjährige Therapie inklusive der funktionstherapeutischen Schienen. Private Versicherungen und manche Zusatzversicherungen erstatten erfahrungsgemäß die Kosten.
Schnuller, Daumenlutschen & Entwöhnung
Schnuller und Daumen helfen dem Kind, sich zu beruhigen. Das Saugen am Schnuller oder Daumen erfüllt nicht nur den Zweck der Nahrungsaufnahme, sondern beruhigt auch ein Baby. Trinkt es an der Brust oder nuckelt an einer Flasche oder dem Schnuller, löst dies ein wohliges Gefühl bei ihm aus. In den ersten Lebensmonaten ist das Saugen eine effektive Selbstberuhigungsmethode für Babies.
Gegen Ende des ersten Lebensjahres passiert das Saugen nicht mehr reflexartig, sondern ist zu einem mehr oder weniger bewussten Vorgang geworden. Das Baby hat gelernt, dass ihm der Schnuller oder das Trinken an der Brust guttut. Diese orale Befriedigung verliert in der Regel mit zunehmendem Alter immer mehr an Bedeutung oder kann durch andere Dinge ersetzt werden. Dennoch vermittelt das Saugen und Nuckeln ein Gefühl von Sicherheit und Geborgenheit.
Ferner könnte sich hinter dem Wunsch nach dem Schnuller auch etwas anderes verbergen: Ist dein Baby unzufrieden, traurig oder müde, wird er wahrscheinlich nach dem Nuckel verlangen. Nicht zuletzt ist daher das Abgewöhnen des Schnullers für viele Eltern und Kinder eine echte Herausforderung.
Warum der Schnuller auf Dauer gefährlich ist
Wenn die ersten Milchzähne herausbrechen, kann der Schnuller bleibende Schäden im Gebiss verursachen. Nun ist es wichtig, den Schnuller behutsam abzugewöhnen und darauf zu achten, dass dein Kind nicht den Daumen als Ersatz verwendet.
Das Daumenlutschen schadet dem Gebiss noch mehr, als das Nuckeln am Schnuller. Jedoch könnte beides auf Dauer Folgendes verursachen:

Im ersten Lebensjahr verwachsen sich normalerweise Verformungen noch von selbst. Dennoch solltest du das Abgewöhnen des Schnullers nicht zu lange hinauszögern, denn mit der Zeit (ab dem Alter von zwei Jahren) könnten Fehlstellungen sogar später behandlungsbedürftige Schäden hinterlassen.
Die Schnullerentwöhnung
Eine Schnullerentwöhnung ist ein wichtiges Projekt, das die Eltern selbstständig zuhause durchführen. Folgende Punkte können Sie dabei unterstützen:
Bei Kindern ab dem Alter von ca. drei Jahren helfen wir Ihnen gerne mit einer altersgerechten, sanften Funktionstherapie. Sie kann Ihrem Kind helfen, den Schnuller abzulegen. Sie hilft gleichzeitig, die entstandene Mundatmung sowie möglicherweise bereits entstandene Deformationen wie Zahn- und Kieferfehlstellungen zu therapieren. Auch die Zungenlage und das Schluckmuster werden dadurch therapiert.
Bitte beachten Sie, dass die Therapiekosten für eine frühe Funktionstherapie bei Kindern nicht mit der gesetzlichen Krankenkasse abzurechnen sind. Sie belaufen sich auf ca. 600 bis 1200€ für eine halbjährige Therapie inklusive der funktionstherapeutischen Schienen. Private Versicherungen und manche Zusatzversicherungen erstatten erfahrungsgemäß die Kosten.







