Ästhetik
Zeigen Sie der Welt Ihr schönstes Lächeln - wir zeigen Ihnen gerne, welche Möglichkeiten Ihnen offenstehen.

Schöne und gesunde Zähne sind bei koschdon & zähne untrennbar miteinander verbunden. Zu einem gesunden Gebiss gehört für uns auch immer der Anspruch, dass ein Patient gerne lacht und sich mit seinem Lachen wohlfühlt. Gerne zeigen wir Ihnen, was die ästhetische Zahnmedizin für Sie und Ihre Zähne tun kann.
Ihr(e) ZA Yousef Alkhouri
Zahnarzt
ÄSTHETISCHE ZAHNMEDIZIN

Gesund und schön
Ästhetik als Teil ihrer Zahngesundheit
Zahnaufhellung
Modernste Mittel, schonend und wirksam
Deutsche Meisterarbeit
Vollkeramik aus deutschen Meisterlaboren
Vereinbaren Sie jetzt Ihren Termin online!
Sie können ab sofort ganz bequem online einen Termin bei uns buchen. Nutzen Sie unser einfaches Buchungssystem, um schnell und flexibel den passenden Termin zu finden!

- Zahngröße und -proportion müssen zur Person passen
- Lachlinie & Mittellinie sind wichtige Markierungen bei der ästhetischen Rekonstruktion
- die Rolle des Zahnfleisches ist sehr entscheidend; es kann ein Gesicht jung oder gealtert aussehen lassen
- Farbe und Transluzenz sollten exakt ausbalanciert und definiert werden
- Ästhetische Rekonstruktionen bleiben idealerweise unerkennbar
Ästhetische Zahnmedizin
Die ästhetische Zahnheilkunde ist ein sehr anspruchsvolles Gebiet
Makellose Zähne verändern das Erscheinungsbild eines Menschen stärker, als viele andere Teile des Körpers: Zähne signalisieren Alter, Gesundheit, Leistungsfähigkeit und vermehrt auch den Status des Menschen. Während immer mehr Hollywoodstars zu ihren Fältchen stehen, würde keiner von ihnen mit unperfekten Zähnen eine Filmrolle erhalten. Und so ist es heutzutage neben der Attraktivität auch eine Frage des beruflichen Erfolges, dass man nicht nur gepflegte, sondern auch makellose Zähne zeigt.
Dabei muss unbedingt beachtet werden:
Ästhetische Gesamtsanierung und optische Verjüngung
Die Zähne haben eine genauso entscheidende Rolle auf das optische Alter eines Menschen wie sein Gesicht. Eine optische Verjüngung ist durch die Veränderung von Proportionen und Farbe der Zähne in vielen Fällen zu erreichen.
Aber auch altersunabhängig lässt sich optimieren: Mittels individueller Planung und im Gespräch mit dem Patienten werden ästhetische Problematiken und Makel analysiert und der geeignete Weg gefunden, um ein individuelles, aber ästhetisch einwandfreies Ergebnis zu erreichen. Ob Komposit, Keramik oder eine Korrektur des Zahnfleisches – Sie befinden sich in qualifizierten Händen.
Gut zu wissen:
Ob gesetzlich oder privat versichert – in der Regel gehört zu einem gesunden Lächeln auch der Aspekt der Ästhetik. Unsere Arbeit wird auch immer davon beeinflusst, für den Patienten ein ästhetisch ansprechendes Gesamtbild zu erschaffen. Beispielsweise verzichten wir auf Amalgamfüllungen und beraten Sie bei Rekonstruktionen immer auch mit Fokus auf Farbe und Form. Rein ästhetisch indizierte Behandlungen wie z.B. ein Bleaching werden nicht von Kostenerstattern getragen.
Zahnaufhellung
Wünschen Sie sich auch schöne weiße Zähne?
Schöne weiße Zähne spielen beim äußeren Erscheinungsbild eine wichtige Rolle – sie symbolisieren Gesundheit, Attraktivität und Leistungsfähigkeit.
Beim Bleaching, dem Aufhellen der Zähne, gibt es jedoch entscheidende Unterschiede. Allem voran stehen die Ansprüche, sowohl die Zahngesundheit keinesfalls zu gefährden als auch hervorragende Ergebnisse von langer Dauer zu gewährleisten. Hierbei gibt es nur eine Methode, die all diese Erwartungen erfüllt.
Vor dem Bleaching – nach dem Bleaching
Ein schönes Lächeln dank Zahnaufhellung
Die Ergebnisse sind hervorragend: Innerhalb einer guten Stunde wird eine durchschnittliche Aufhellung von neun Stufen erreicht, die jahrelang erhalten bleibt. Eine Erfahrung, die Ihr Leben verändern wird – denn Ihr neues, strahlendes Lächeln wird auch Ihren Mitmenschen auffallen.
Langjährige, universitäre Studien beweisen, dass Zahnaufhellung weder Zahnschmelz noch Zahnfleisch angreift. Es gilt unter weltweit führenden Spezialisten als sanft und absolut sicher. Die neue, strahlende Schönheit Ihrer Zähne ist also mit keinerlei Nebenwirkungen verbunden. Für weitere Informationen und Fragen stehen wir Ihnen selbstverständlich zur Verfügung.
Keramikveneers
Zahnästhetik
Kleine abgebrochene Ecken? Unschöne Zahnfarbe? Leichte Zahnschief- oder Fehlstellungen, unpassende Zahnformen – oder gar Lücken zwischen den Zähnen?
Dies und noch viel mehr kann durch Veneers, hauchdünne Schalen aus Keramik, beseitigt werden. Sie sind unter anderem auch deshalb das Geheimnis des perfekten Hollywood-Lächelns. Veneers werden – künstlichen Fingernägeln gleich – auf die leicht abgetragene Zahnoberfläche gebracht und bilden hier, richtig verklebt, eine untrennbare Einheit mit dem Zahn.
Der Vorteil: Die Zahnsubstanz wird nicht beschädigt. Da Veneers metallfrei sind, wird nie ein dunkler Rand – wie möglicherweise bei einem Metallgerüst – sichtbar. Licht durchflutet den Zahn und wird reflektiert. Die Natur wird perfekt kopiert.
Ohne Veneers – mit Veneers
Kompositaufbauten
Die neue Generation der Nanotechnologie
Die neue Generation von Nanokompositen eröffnet dem Zahnarzt faszinierende, bis vor kurzem noch undenkbare Möglichkeiten. Als sei es pure Zahnhartsubstanz kann der speziell fortgebildete Zahnarzt ganze Zähne hochästhetisch umformen, Ecken aufbauen, minimalinvasiv kariöse Defekte rekonstruieren und selbst feinste Farbanpassungen vornehmen. Und das entscheidende daran ist: Alles passiert direkt, in der Praxis und in einer einzigen Sitzung.
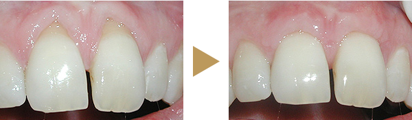
Beispiel für Komposite im Frontzahnbereich
Die folgenden Bilder zeigen den Einsatz von Kompositen im Frontzahnbereich. Die Veränderung des Erscheinungsbildes ist deutlich erkennbar.
Vor der Behandlung – nach der Behandlung
Vollkeramik
Vollkeramik ist in der Zahnheilkunde nicht mehr wegzudenken
Keramik ist aus der ästhetischen und kosmetischen Zahnheilkunde nicht mehr wegzudenken. Sie ist absolut biokompatibel und allergiefrei, sehr fest und ähnelt dem natürlichen Zahnschmelz in ihren Eigenschaften und der Optik.
Wahre keramische Meisterwerke kommen aus dem zahntechnischen Labor und sehen sehr natürlich und gleichzeitig hochästhetisch aus. Dabei ist das sogenannte Zirkonoxid eine besonders feste und gleichzeitig transluzente (lichtdurchlässige) Basis für die Schichtung hochwertiger Kronen und Brücken. Seine Eigenschaften haben der metallfreien Front- und Seitenzahnästhetik die Türen geöffnet – dunkle Kronenränder sind passe und man erreicht täuschend echte Ergebnisse – so, wie es sein soll.
Zahnfleischästhetik
Plastische Parodontalchirurgie
Damit das Zahnfleisch die “richtige Kurve bekommt”, nicht zu lang oder zu kurz in Relation zum Zahn wirkt, um damit einen unvorteilhaften oder gar gealterten Eindruck zu hinterlassen, hat die moderne kosmetische Parodontologie unterschiedliche Möglichkeiten.
Zahnfleisch kann chirurgisch gekürzt oder durch beispielsweise Gewebetransplantate verlängert werden, je nach den entsprechenden Voraussetzungen. Denn wir wissen, dass Zahnfleisch-Design ein wichtiges Instrument im Orchester “strahlendes Lächeln” spielt und deshalb keinesfalls zu vernachlässigen ist. Dies ist der ästhetische Aspekt neben der rein medizinisch indizierten Parodontologie, wobei hier Zahnerhalt das oberste Gebot ist.











